İngiltere’de yapılan bir araştırmaya göre, COVID-19 döneminde insanların beyinleri 2020 öncesine kıyasla ortalama 5,5 ay daha hızlı yaşlandı. Üstelik bu artış, COVID geçirmeyenlerde de görüldü. Uzmanlar değişimlerin tersine dönebileceğini söylüyor.
Haber Giriş Tarihi: 28.07.2025 09:15
Haber Güncellenme Tarihi: 28.07.2025 08:59
Kaynak:
Haber Merkezi
hurhaber.com
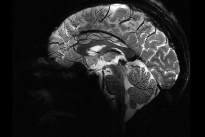
Nottingham Üniversitesi’nden bilim insanları, UK Biobank’ta yer alan 15 binden fazla yetişkinin verileriyle sağlıklı beyin yaşlanmasını tanıyan bir yapay zekâ modeli geliştirdi. Model, pandemiden önce tarananlarla, önce ve pandemi sırasında taranan iki grubun beyin yaşlarını karşılaştırdı.
Pandemide yaşlanma hızı arttı
Science Alert'in haberine göre, Araştırmaya göre, pandemi sürecinde insan beyninin yaşlanma hızı ortalama 5,5 ay öne çekildi.
Çalışmayı yürüten nörolog Ali-Reza Mohammadi-Nejad, “COVID geçirmeyenlerde bile belirgin artış gördük. İzolasyon ve belirsizlik gibi faktörler beyin sağlığını etkiledi” dedi.
“Geri dönebilir” ihtimali
Ekipten nörolog Dorothee Auer, verilerin iki zaman noktasına ait olduğunu hatırlatarak, “Gördüğümüz değişikliklerin geri dönebileceğini söylemek mümkün, bu da cesaret verici” değerlendirmesini yaptı.
Çalışmada beyin yaşındaki artışın, bilişsel performansı mutlaka düşürmediği vurgulandı; bilişsel gerileme yalnızca virüsle enfekte olanlarda saptandı.
Kimler daha savunmasız?
Erkeklerde, gri ve beyaz maddede değişimlerin daha belirgin olduğu raporlandı.
Yaşlılar ile sosyal/ekonomik açıdan dezavantajlı gruplarda hızlanmış yaşlanma işaretleri öne çıktı.
Daha önceki çalışmalar, sosyal izolasyonun ve yoksulluğun beyin yapısını etkileyebildiğini göstermişti.
Araştırmacılar, geniş ve uzun soluklu beyin görüntüleme çalışmalarının önemli ipuçları verdiğini ancak neden bu bölgelerin değiştiğini ve bunun davranış ya da biliş üzerindeki etkisini söylemek için daha fazla kanıta ihtiyaç olduğunu belirtti. Auer, “Beyin sağlığını sadece hastalıklar değil, gündelik çevremiz de şekillendiriyor” dedi.
Sizlere daha iyi hizmet sunabilmek adına sitemizde çerez konumlandırmaktayız. Kişisel verileriniz, KVKK ve GDPR
kapsamında toplanıp işlenir. Sitemizi kullanarak, çerezleri kullanmamızı kabul etmiş olacaksınız.
En son gelişmelerden anında haberdar olmak için 'İZİN VER' butonuna tıklayınız.
Pandemi beyinleri hızla yaşlandırdı
İngiltere’de yapılan bir araştırmaya göre, COVID-19 döneminde insanların beyinleri 2020 öncesine kıyasla ortalama 5,5 ay daha hızlı yaşlandı. Üstelik bu artış, COVID geçirmeyenlerde de görüldü. Uzmanlar değişimlerin tersine dönebileceğini söylüyor.
Nottingham Üniversitesi’nden bilim insanları, UK Biobank’ta yer alan 15 binden fazla yetişkinin verileriyle sağlıklı beyin yaşlanmasını tanıyan bir yapay zekâ modeli geliştirdi. Model, pandemiden önce tarananlarla, önce ve pandemi sırasında taranan iki grubun beyin yaşlarını karşılaştırdı.
Pandemide yaşlanma hızı arttı
Science Alert'in haberine göre, Araştırmaya göre, pandemi sürecinde insan beyninin yaşlanma hızı ortalama 5,5 ay öne çekildi.
Çalışmayı yürüten nörolog Ali-Reza Mohammadi-Nejad, “COVID geçirmeyenlerde bile belirgin artış gördük. İzolasyon ve belirsizlik gibi faktörler beyin sağlığını etkiledi” dedi.
“Geri dönebilir” ihtimali
Ekipten nörolog Dorothee Auer, verilerin iki zaman noktasına ait olduğunu hatırlatarak, “Gördüğümüz değişikliklerin geri dönebileceğini söylemek mümkün, bu da cesaret verici” değerlendirmesini yaptı.
Çalışmada beyin yaşındaki artışın, bilişsel performansı mutlaka düşürmediği vurgulandı; bilişsel gerileme yalnızca virüsle enfekte olanlarda saptandı.
Kimler daha savunmasız?
Erkeklerde, gri ve beyaz maddede değişimlerin daha belirgin olduğu raporlandı.
Yaşlılar ile sosyal/ekonomik açıdan dezavantajlı gruplarda hızlanmış yaşlanma işaretleri öne çıktı.
Daha önceki çalışmalar, sosyal izolasyonun ve yoksulluğun beyin yapısını etkileyebildiğini göstermişti.
Araştırmacılar, geniş ve uzun soluklu beyin görüntüleme çalışmalarının önemli ipuçları verdiğini ancak neden bu bölgelerin değiştiğini ve bunun davranış ya da biliş üzerindeki etkisini söylemek için daha fazla kanıta ihtiyaç olduğunu belirtti. Auer, “Beyin sağlığını sadece hastalıklar değil, gündelik çevremiz de şekillendiriyor” dedi.
Çok Okunanlar