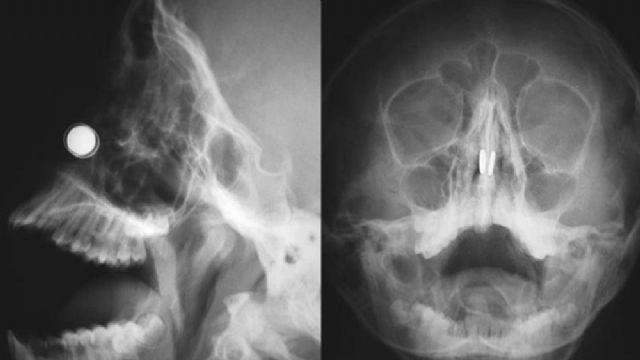
Bir süre önce her iki burun deliğine saat piline benzeyen küçük iki manyetik disk sokan 11 yaşındaki erkek çocuğunun, burnuna sıkışan mıknatısları çıkarmak için Doç. Dr. Kadir Çağdaş Kazıkdaş başkanlığında gerçekleştirilen operasyon literatüre geçti.
Haber Giriş Tarihi: 22.12.2017 12:12
Haber Güncellenme Tarihi: 22.12.2017 12:12

Bir süre önce her iki burun deliğine saat piline benzeyen küçük iki manyetik disk sokan 11 yaşındaki erkek çocuğunun, burnuna sıkışan mıknatısları çıkarmak için Doç. Dr. Kadir Çağdaş Kazıkdaş başkanlığında gerçekleştirilen operasyon literatüre geçti.Konuyla ilgili açıklamalarda bulunan Yakın Doğu Üniversitesi Hastanesi'nde Doç. Dr. Kadir Çağdaş Kazıkdaş, en güçlü mıknatıslardan olan neodyum mıknatıslarının buruna girer girmez çocuğun burun direği etrafında birbirine yapıştığını açıkladı. Çocuğun mıknatısları burnuna soktuktan yaklaşık altı saat sonra dayanılmaz bir ağrı, burun kanaması ve burun içinde kabuklanma şikayetleri ile hastanenin acil servisine getirildiğini ifade eden Doç. Dr. Kazıkdaş, yapılan ilk müdahalede mıknatısların halen çocuğun burnunda olup olmadığının kesin olarak anlaşılamadığını, burun içerisinde de kanamaya bağlı çok fazla kabuklanma olduğunu, bu arada çocuğun duyduğu ağrı ve korku nedeniyle doktorların müdahale girişimlerini de engellediğini söyledi. Doç. Dr. Kazıkdaş daha sonra hastanın Kulak, Burun Boğaz Polikliniği'ne sevk edilerek, yüz röntgeninin çekildiğini, böylece burun içerisinde birbirine kenetlenmiş olan mıknatısların tespit edilebildiğini söyledi.DOÇ. DR. KAZIKDAŞ; GELENEKSEL CERRAHİ ALETLER İLE ÇIKARMAYI DENEDİM AMA İMKANSIZDIHızlıca ameliyathaneye alınan çocuğa genel anestezi verilerek bu esnada mıknatısları çıkarmanın bir yolunun arandığını söyleyen Doç. Dr. Kadir Çağdaş Kazıkdaş; "Çocuk septal perforasyon dediğimiz, burun direğinde küçük bir delik oluşması riski altındaydı. Aynı zamanda, eğer en kısa zamanda mıknatıslar çıkarılmazsa, burun kıkırdağında kangren ya da doku ölümü gerçekleşme olasılığı da vardı" dedi.Geleneksel cerrahi aletlerle mıknatısları çıkarmayı denediklerini ama bu şekilde sonuç alamadıklarını ifade eden Doç. Dr. Kadir Çağdaş Kazıkdaş, son olarak burun içinde kenetlenmiş olan mıknatısları kaldırıp çıkarmak için burun dışından sıradan mıknatıslar kullanmayı düşündüklerini ifade ederek şöyle devam etti; "Bu yöntem ile sol taraftaki mıknatısı kolaylıkla çıkarmayı başardık. Ardından ikinci mıknatısı çıkarmak da saniyeler sürdü. Çocuğun burun kıkırdağında oluşan hasarlı bölgeye ve travmatize olan dokulara yapay yama uygulandı. İlerleyen dönemdeki iyileşmeyi desteklemesi için silikon burun ateli de takıldı. Atel operasyon sonrasında on gün boyunca hastanın burnunda takılı kaldı."Doç. Dr. Kadir Çağdaş Kazıkdaş, çocuğun altı ay sonraki takip muayenesinde, kalıcı hasar emaresi bulunmadığını ve rahatça burundan nefes alabildiğinin gözlemlendiğini belirtti. Doç. Dr. Kadir Çağdaş Kazıkdaş yaptığı açıklamada, mıknatıs kullanımının bir moda çılgınlığı olarak giderek popülerleşen bir olay haline geldiğini ve maalesef yetişkinlerde bile bu tür yabancı maddelerin kullanımı ile yaşanan olumsuz durumlarla daha sık karşılaşılmaya başlandığını söyleyerek, ailelerin mıknatıs ve düğme pilleri, çocukların ulaşamayacağı yerlerde saklamaları gerektiği konusunda uyarılarda bulundu. Bu tür objelerin küçük boyutta olmalarına rağmen şaşırtıcı derecede güçlü bir çekim kuvvetleri olduğunu ifade eden Doç. Dr. Kadir Çağdaş Kazıkdaş, takı ya da estetik amaçlar için kullanılabilecek olan mıknatısların potansiyel tehlikeleri ile ilgili daha büyük çocukların da bilgilendirilmesi gerektiğini söyledi.ÇOCUĞUN BURNUNDAKİ MIKNATISLARI ÇIKARMA YÖNTEMİ, DIŞ BASINDA DA YER BULDUYakın Doğu Üniversitesi Hastanesi Kulak Burun Boğaz Anabilim Dalı ekibinin, 11 yaşındaki çocuğun burnundaki mıknatısları çıkarma yöntemi, dış basında da yer buldu.Kanada haber sitesi CTV News, konuyla ilgili haberi "Doktorlar, çocuğun burnunda sıkışıp kalmış mıknatısları çıkarmak için mükemmel bir yol buldular", Amerikan radyo kanalı ve haber sitesi National Public Radio ise "Bir Çocuğun Burnuna Mıknatıs Sıkıştığında, Doktorlar Hassas Davranmak Zorundadır" başlığıyla duyurdu.The New England Journal of Medicine ise bu konu hakkında yayınladığı makalede, mıknatısların çok uzun süreden beridir çocuklar için bir sağlık sorunu oluşturduğunu, 2013 yılında Annals of Emergency Medicine'da yapılan çalışmada, 2001 ve 2002 yılları arasında, 21 yaş altı 22.500'den fazla kişide mıknatısla alakalı yaşanmış kaza tespit edildiği, mıknatısların vücuda ağır hasar verebileceği, hatta ölüme neden olabileceğinin göz ardı edilmemesi gerektiği ifade edilerek, Kıbrıs'ta yaşanan vakada doktorların sorunu dahiyane bir şekilde çözüme dönüştürmeyi başardıklarını yazdı.Norfolk'daki The King's Daughters Hastanesi Pediatrik Kulak Burun Boğaz Bölümü yöneticisi Dr. Craig Derkay ise "Hemen hemen hergün çocukların kulaklarından, burunlarından ve boğazlarından bir şeyler çıkarıyoruz. Özellikle saatlerde ve oyuncaklarda bulunan düğme pillerden endişe duyuyoruz. Shots'un 2012 de belirttiği gibi bunlar yanmalara ve doku ölümüne yol açabilirler. Neyseki burnunda mıknatıs sıkışan çocuğun durumu güzel bir şekilde sona erdi." dedi.(Hüseyin Çakmak/İHA)