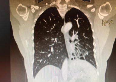
Tekrarlayan ve geçmeyen öksürük… Kirli, iltihaplı, kokulu ve kanlı balgam çıkarma... Ateş ve çomak parmak Bronşektazi’nin en belirgin özellikleri arasında. Medikal tedavilerin cevap vermediği durumlarda ise uygun hastalarda cerrahi tedavi devreye giriyor.
Haber Giriş Tarihi: 19.06.2018 07:38
Haber Güncellenme Tarihi: 19.06.2018 10:38
Kaynak:
Haber Merkezi
hurhaber.com
Konu ile ilgili bilgi veren Göğüs Cerrahisi Uzmanı Doç. Dr. Özkan Demirhan,” Soluk borusunun devamında ana bronş ve sonrasında bronşlar gelmektedir, bronş duvarının kas ve elastik yapısının bütünlüğünün bozulması sonucunda anormal ve kalıcı genişlemeye Bronşektazi denir. Bronşektazi doğumsal nedenlerden kaynaklanabileceği gibi sonradan da oluşabilir. Doğumsal nedenlerden kaynaklı Bronşektazi'de anatomik bozukluklar, damarsal bozuklular, solumun yolu üzerindeki silia tabakası bozuklukları ve immün sistem zayıflıkları rol oynar. Sonradan gelişen Bronşektazi'de ise sigaranın olumsuz etkilerinin yanı sıra sık geçirilen akciğer enfeksiyonları, bronşu tıkayan (yabancı cisim), bronşu daraltan durumlar ( bronş etrafında bulunan lenf bezelerinin bası yapması), aspirasyon pnömonisi gibi durumlar söz konusu olabilir. Bronşektazi en sık sol alt lobda görülmesine rağmen akciğerin tüm bronşlarını etkileyebilir” dedi.
15 yıl Bronşektazi ile mücadele etti
15 yıl Bronşektazi ile mücadele ettiğini ifade eden İzmirli 51 yaşındaki Mecidiye Sale,” Çocukluğumdan beri neredeyse hep hasta olduğumu söyleyebilirim. Direncim çok düşüktü ve sık sık akciğer enfeksiyonları geçiriyordum. Bundan 15 yıl önce Bronşektazi tanısı konuldu. Medikal tedavilerim devam etti ancak son bir yılda şikayetlerim çok arttı. Bir türlü geçmeyen öksürükle beraber sürekli kirli ve kokulu balgam çıkarma sorunum vardı. Aynı zamanda yokuş çıkarken nefes darlığı yaşamaya başladım. Son bir yılım neredeyse yatakta geçti diyebilirim. İzmir'deki doktorlarım ameliyatın kaçınılmaz olduğunu söylediler. Ben de bu konuda araştırma yaptım ve Özkan hoca ile tanıştıktan sonra ameliyat olmaya karar verdim. Ameliyat sonrası beni en çok mutlu eden şey yıllar sonra tekrar yorulmadan yürümeye başlamış ve rahat nefes almaya başlamış olmamdı” şeklinde konuştu.
Önce medikal tedavi olmuyorsa ameliyat
Bronşektazi'nin tedavi şekline değinen Demirhan,” Bronşektazi hastaları önce göğüs hastalıkları uzmanına gidiyor. Uzun süre tedavi ediliyor. Rutin tedavi prosedürü de budur. Önce medikal tedavi olmuyorsa ameliyat düşünülür. Eğer medikal tedavilerde enfeksiyon dirençli hale geldi ve kurutmak imkansız ise bu durum da hastanın yaşam konforunu bozuyorsa ameliyat devreye girer. Yaygın Bronşektazi'lerde ameliyat önerilmiyor, Bronşektazi sınırlı yani lokalize ise daha iyi sonuç alınıyor. Cerrahide lokalize Bronşektazi hastalarına kapalı yöntemlerle videotorokoskopik veya robotik ameliyatlar yapıyoruz. Bu ameliyatlardan sonra hasta önemli ölçüde sağlığına kavuşabiliyor. Eğer hastalar ihmal eder ya da ameliyat gerektiren durumları geciktirirlerse enfeksiyon vücuda dağılıp apse gelişimine, Ampiyem'e, hemoptiziye (balgamdan kan gelmesine ), beyin apsesine ya da nadir de olsa sepsise neden olabilir” ifadelerini kullandı.
Sizlere daha iyi hizmet sunabilmek adına sitemizde çerez konumlandırmaktayız. Kişisel verileriniz, KVKK ve GDPR
kapsamında toplanıp işlenir. Sitemizi kullanarak, çerezleri kullanmamızı kabul etmiş olacaksınız.
En son gelişmelerden anında haberdar olmak için 'İZİN VER' butonuna tıklayınız.
Tekrarlayan ve geçmeyen öksürük: Bronşektazi
Tekrarlayan ve geçmeyen öksürük… Kirli, iltihaplı, kokulu ve kanlı balgam çıkarma... Ateş ve çomak parmak Bronşektazi’nin en belirgin özellikleri arasında. Medikal tedavilerin cevap vermediği durumlarda ise uygun hastalarda cerrahi tedavi devreye giriyor.
Konu ile ilgili bilgi veren Göğüs Cerrahisi Uzmanı Doç. Dr. Özkan Demirhan,” Soluk borusunun devamında ana bronş ve sonrasında bronşlar gelmektedir, bronş duvarının kas ve elastik yapısının bütünlüğünün bozulması sonucunda anormal ve kalıcı genişlemeye Bronşektazi denir. Bronşektazi doğumsal nedenlerden kaynaklanabileceği gibi sonradan da oluşabilir. Doğumsal nedenlerden kaynaklı Bronşektazi'de anatomik bozukluklar, damarsal bozuklular, solumun yolu üzerindeki silia tabakası bozuklukları ve immün sistem zayıflıkları rol oynar. Sonradan gelişen Bronşektazi'de ise sigaranın olumsuz etkilerinin yanı sıra sık geçirilen akciğer enfeksiyonları, bronşu tıkayan (yabancı cisim), bronşu daraltan durumlar ( bronş etrafında bulunan lenf bezelerinin bası yapması), aspirasyon pnömonisi gibi durumlar söz konusu olabilir. Bronşektazi en sık sol alt lobda görülmesine rağmen akciğerin tüm bronşlarını etkileyebilir” dedi.
15 yıl Bronşektazi ile mücadele etti
15 yıl Bronşektazi ile mücadele ettiğini ifade eden İzmirli 51 yaşındaki Mecidiye Sale,” Çocukluğumdan beri neredeyse hep hasta olduğumu söyleyebilirim. Direncim çok düşüktü ve sık sık akciğer enfeksiyonları geçiriyordum. Bundan 15 yıl önce Bronşektazi tanısı konuldu. Medikal tedavilerim devam etti ancak son bir yılda şikayetlerim çok arttı. Bir türlü geçmeyen öksürükle beraber sürekli kirli ve kokulu balgam çıkarma sorunum vardı. Aynı zamanda yokuş çıkarken nefes darlığı yaşamaya başladım. Son bir yılım neredeyse yatakta geçti diyebilirim. İzmir'deki doktorlarım ameliyatın kaçınılmaz olduğunu söylediler. Ben de bu konuda araştırma yaptım ve Özkan hoca ile tanıştıktan sonra ameliyat olmaya karar verdim. Ameliyat sonrası beni en çok mutlu eden şey yıllar sonra tekrar yorulmadan yürümeye başlamış ve rahat nefes almaya başlamış olmamdı” şeklinde konuştu.
Önce medikal tedavi olmuyorsa ameliyat
Bronşektazi'nin tedavi şekline değinen Demirhan,” Bronşektazi hastaları önce göğüs hastalıkları uzmanına gidiyor. Uzun süre tedavi ediliyor. Rutin tedavi prosedürü de budur. Önce medikal tedavi olmuyorsa ameliyat düşünülür. Eğer medikal tedavilerde enfeksiyon dirençli hale geldi ve kurutmak imkansız ise bu durum da hastanın yaşam konforunu bozuyorsa ameliyat devreye girer. Yaygın Bronşektazi'lerde ameliyat önerilmiyor, Bronşektazi sınırlı yani lokalize ise daha iyi sonuç alınıyor. Cerrahide lokalize Bronşektazi hastalarına kapalı yöntemlerle videotorokoskopik veya robotik ameliyatlar yapıyoruz. Bu ameliyatlardan sonra hasta önemli ölçüde sağlığına kavuşabiliyor. Eğer hastalar ihmal eder ya da ameliyat gerektiren durumları geciktirirlerse enfeksiyon vücuda dağılıp apse gelişimine, Ampiyem'e, hemoptiziye (balgamdan kan gelmesine ), beyin apsesine ya da nadir de olsa sepsise neden olabilir” ifadelerini kullandı.
Çok Okunanlar